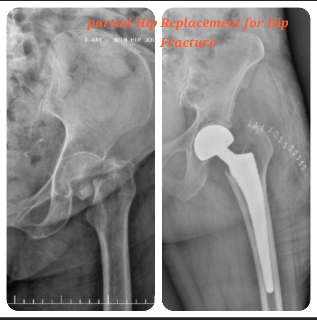
Hemi hip replacement, also known as hemiarthroplasty, is a surgical procedure commonly performed to treat fractures of the hip, especially in elderly patients. The procedure involves replacing only the femoral head (ball) of the hip joint while preserving the natural acetabulum (socket), allowing pain relief and early restoration of mobility.
This procedure is particularly beneficial for patients with poor bone quality or limited pre-injury mobility. Careful patient selection, accurate implant positioning, and modern surgical techniques help ensure stable fixation, faster recovery, and reduced postoperative complications.
Postoperative rehabilitation following hemi hip replacement focuses on early mobilization, balance training, and muscle strengthening. Supervised physiotherapy and regular follow-up help ensure safe recovery, implant stability, and long-term functional outcomes.
My first operation ever (hopefully the last). The experience in the Operation Theatre was mind blowing. DK sir, all docs, and supporting staff were extremely cool right from the time I got into the Operation Theatre. I had to get my Ankle operated (2 fractures). I felt I was in safe hands throughout.
We have known Dr.Harsha for 2 years now. Had consulted him for my mother in law arthritis treatment. Recently visited him for my mother in law’s arm fracture. He provided us with the best course of treatment considering all the other health factors. Always seen him as a very humble person, provides knowledgable care and takes time to address all our doubts and fears. Good doctors like Dr.Harsha replace the fear of illness with trust in recovery. I highly recommend him for anyone looking for a good orthopaedic advice and treatment. I am really grateful for your exceptional care and dedication to patient well being.
I met with an accident in July, 2023,resulting in severe fracture of my left elbow joint.I got admitted to RV Aster hospital. Surgery was performed under the care of Dr. Harsha and his dedicated team. The surgery was successful and I am delighted to share that I have fully regained the functionality of my hand, restoring it to its original state. I am exceptionally pleased with the exceptional treatment I received.